|
|
|
| | |
|
Results You searched for: Wright-Giemsa Stain Kit Results Displayed: 1 - 2 of 2 |
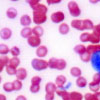
Wright-Giemsa Stain Kit is intended to be used for differential staining of blood smears, bone marrow and blood parasites. - Erythrocytes: Pink-Tan
- Leukocytes: Blue-Purple
- Neutrophils: Light Purple granules in cytoplasm
- Eosinophils: Bright Red-Red-Orange granules in cytoplasm
- Basophils: Deep Purple granules in cytoplasm
- Platelets: Violet-Purple granules in light blue cytoplasm
| Literature: |
|
Manufacturer site: |
|
Wright-Giemsa Stain Kit
Wright-Giemsa Stain Kit is intended to be used for differential staining of blood smears, bone marrow and blood parasites. - Erythrocytes: Pink-Tan
- Leukocytes: Blue-Purple
- Neutrophils: Light Purple granules in cytoplasm
- Eosinophils: Bright Red-Red-Orange granules in cytoplasm
- Basophils: Deep Purple granules in cytoplasm
- Platelets: Violet-Purple granules in light blue cytoplasm
Wright-Giemsa Stain Kit is intended to be used for differential staining of blood smears, bone marrow and blood parasites. - Erythrocytes: Pink-Tan
- Leukocytes: Blue-Purple
- Neutrophils: Light Purple granules in cytoplasm
- Eosinophils: Bright Red-Red-Orange granules in cytoplasm
- Basophils: Deep Purple granules in cytoplasm
- Platelets: Violet-Purple granules in light blue cytoplasm
|
|
|
|
|
|