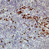
Each immunoglobulin molecule consists of two identical heavy chains and two identical light chains. There are two types of light chains designated as kappa and lambda. The gene rearrangement process that generates the immunoglobulin molecule results in either a productive kappa gene or a productive lambda gene. The mechanics of the rearrangement process normally produce approximately twice as many kappa-bearing cells as lambda. However this ratio loses during malignant transformation. The kappa light chain antibody labels kappa light chain expressing B lymphocytes and plasma cells. Other cells may also express kappa light chain due to nonspecific uptake of immunoglobulin. Individual B cells express either kappa or lambda light chains. Monoclonality is generally assumed to be evidence of a malignant proliferation. Paired with lambda, kappa light chain is useful in identifying monoclonality of lymphoid malignancies.
Literature:
Manufacturer site:
Kappa Light Chain
Rabbit Polyclonal
Each immunoglobulin molecule consists of two identical heavy chains and two identical light chains. There are two types of light chains designated as kappa and lambda. The gene rearrangement process that generates the immunoglobulin molecule results in either a productive kappa gene or a productive lambda gene. The mechanics of the rearrangement process normally produce approximately twice as many kappa-bearing cells as lambda. However this ratio loses during malignant transformation. The kappa light chain antibody labels kappa light chain expressing B lymphocytes and plasma cells. Other cells may also express kappa light chain due to nonspecific uptake of immunoglobulin. Individual B cells express either kappa or lambda light chains. Monoclonality is generally assumed to be evidence of a malignant proliferation. Paired with lambda, kappa light chain is useful in identifying monoclonality of lymphoid malignancies.
Rabbit Polyclonal
Each immunoglobulin molecule consists of two identical heavy chains and two identical light chains. There are two types of light chains designated as kappa and lambda. The gene rearrangement process that generates the immunoglobulin molecule results in either a productive kappa gene or a productive lambda gene. The mechanics of the rearrangement process normally produce approximately twice as many kappa-bearing cells as lambda. However this ratio loses during malignant transformation. The kappa light chain antibody labels kappa light chain expressing B lymphocytes and plasma cells. Other cells may also express kappa light chain due to nonspecific uptake of immunoglobulin. Individual B cells express either kappa or lambda light chains. Monoclonality is generally assumed to be evidence of a malignant proliferation. Paired with lambda, kappa light chain is useful in identifying monoclonality of lymphoid malignancies.