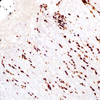
Sry-related HMG-BOX gene 10 (SOX-10) is a nuclear transcription factor that participates in neural crest development and in the specification and differentiation of cells of melanocytic lineage.1 It has been recently shown to be a sensitive marker of melanoma, including conventional, spindled, and desmoplastic subtypes.2 SOX-10 was expressed by metastatic melanomas in sentinel lymph nodes, but not by other lymph node components such as dendritic cells which usually express S100 protein. Anti-SOX-10 has been shown to be superior to all other immunostains in detecting residual invasive and in situ melanoma.1-5 Anti-SOX-10 is also a useful marker in detecting both the in situ and invasive components of desmoplastic melanoma.6 It is known that the commonly used melanoma markers, anti-HMB-45 and anti-Melan-A, are poorly expressed in desmoplastic melanomas5 while it has been reported that anti-SOX-10 was moderately to strongly expressed in almost all desmoplastic melanomas.2 SOX-10 is diffusely expressed in schwannomas and neurofibromas. SOX-10 presence was not identified in any other mesenchymal and epithelial tumors except for myoepitheliomas and diffuse astrocytomas.2
1. Kelsch RN. BioEssays. 2006; 28:788.
2. Nonaka D, et al. Am J Surg Pathol. 2008; 32:1291-1298.
3. Chorny JA, et al. Am J Dermatopathol. 2002; 24:309.
4. Robson A, et al. Histopathology. 2001; 38:135.
5. Longacre T, et al. Am J Surg Pathol. 1996; 20:1489.
6. Ramos-Herberth FI, et al. J Cutan Pathol. 2010; 37:944–952.
Literature:
Manufacturer site:
SOX-10 (EP268)
Rabbit Monoclonal
Sry-related HMG-BOX gene 10 (SOX-10) is a nuclear transcription factor that participates in neural crest development and in the specification and differentiation of cells of melanocytic lineage.1 It has been recently shown to be a sensitive marker of melanoma, including conventional, spindled, and desmoplastic subtypes.2 SOX-10 was expressed by metastatic melanomas in sentinel lymph nodes, but not by other lymph node components such as dendritic cells which usually express S100 protein. Anti-SOX-10 has been shown to be superior to all other immunostains in detecting residual invasive and in situ melanoma.1-5 Anti-SOX-10 is also a useful marker in detecting both the in situ and invasive components of desmoplastic melanoma.6 It is known that the commonly used melanoma markers, anti-HMB-45 and anti-Melan-A, are poorly expressed in desmoplastic melanomas5 while it has been reported that anti-SOX-10 was moderately to strongly expressed in almost all desmoplastic melanomas.2 SOX-10 is diffusely expressed in schwannomas and neurofibromas. SOX-10 presence was not identified in any other mesenchymal and epithelial tumors except for myoepitheliomas and diffuse astrocytomas.2
1. Kelsch RN. BioEssays. 2006; 28:788.
2. Nonaka D, et al. Am J Surg Pathol. 2008; 32:1291-1298.
3. Chorny JA, et al. Am J Dermatopathol. 2002; 24:309.
4. Robson A, et al. Histopathology. 2001; 38:135.
5. Longacre T, et al. Am J Surg Pathol. 1996; 20:1489.
6. Ramos-Herberth FI, et al. J Cutan Pathol. 2010; 37:944–952.
Rabbit Monoclonal
Sry-related HMG-BOX gene 10 (SOX-10) is a nuclear transcription factor that participates in neural crest development and in the specification and differentiation of cells of melanocytic lineage.1 It has been recently shown to be a sensitive marker of melanoma, including conventional, spindled, and desmoplastic subtypes.2 SOX-10 was expressed by metastatic melanomas in sentinel lymph nodes, but not by other lymph node components such as dendritic cells which usually express S100 protein. Anti-SOX-10 has been shown to be superior to all other immunostains in detecting residual invasive and in situ melanoma.1-5 Anti-SOX-10 is also a useful marker in detecting both the in situ and invasive components of desmoplastic melanoma.6 It is known that the commonly used melanoma markers, anti-HMB-45 and anti-Melan-A, are poorly expressed in desmoplastic melanomas5 while it has been reported that anti-SOX-10 was moderately to strongly expressed in almost all desmoplastic melanomas.2 SOX-10 is diffusely expressed in schwannomas and neurofibromas. SOX-10 presence was not identified in any other mesenchymal and epithelial tumors except for myoepitheliomas and diffuse astrocytomas.2
1. Kelsch RN. BioEssays. 2006; 28:788.
2. Nonaka D, et al. Am J Surg Pathol. 2008; 32:1291-1298.
3. Chorny JA, et al. Am J Dermatopathol. 2002; 24:309.
4. Robson A, et al. Histopathology. 2001; 38:135.
5. Longacre T, et al. Am J Surg Pathol. 1996; 20:1489.
6. Ramos-Herberth FI, et al. J Cutan Pathol. 2010; 37:944–952.