Sales & Service
1.800.268.3477 -
info@esbe.com
Welcome !
Home
Français
My Account
Register
|
Login
|
Request a Quote
|
Cart
ABOUT US
About ESBE
Sustainability
Careers
Privacy Policy
Quality Statement
Terms & Conditions
PRODUCTS
Clinical Lab
Consumables
ESBE Brand
Filtration
Forensics
Healthcare Professionals
Life Sciences
Pharmaceuticals
SUPPLIERS
WHAT'S NEW
Events
New Lab Startup Program
Promotions
Stay Connected
ESBE SERVICE
CONTACT US
Please Logon to See Pricing and Availability
Clinical Lab
Consumables
COVID-19 Products
ESBE Brand
Filtration
Forensics
Healthcare Professionals
Life Sciences
Pharmaceuticals
ITEM #
QTY.
Home
>>
Pharmaceuticals
>>
Biopharmaceuticals
>>
Immunohistochemistry
>>
Antibodies
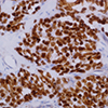
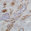
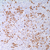
>> Rabbit Monoclonals
Androgen Receptor (SP107)
 
Arginase-1 (SP156)
 
c-Myc (EP121)
 
C4d (SP91)
 
Calcitonin (SP17)
 
Caldesmon (E89)
 
Calponin-1 (EP798Y)
 
CD117, c-kit (YR145)
 
CD16 (SP175)
 
CD1a (EP3622)
 
CD21 (EP3093)
 
CD38 (SP149)
 
CD4 (EP204)
 
CD4 (SP35)
 
CD56 (MRQ-42)
 
CDX-2 (EPR2764Y)
 
Cyclin D1 (SP4)
 
Cytokeratin 14 (SP53)
 
Cytokeratin 5 (EP1601Y)
 
DOG1 (SP31)
 
E-cadherin (EP700Y)
 
Estrogen Receptor (SP1)
 
Factor XIIIa (EP3372)
 
GCDFP15 (EP1582Y)
 
Glial Fibrillary Acidic Protein (GFAP) (EP672Y)
 
Glial Fibrillary Acidic Protein (GFAP) (SP78)
 
Hemoglobin A (EPR3608)
 
Her2/Neu (SP3)
 
Ki67 (SP6)
 
LMO2 (SP51)
 
Mammaglobin (31A5)
 
MyoD1 (EP212)
 
NKX3.1 (EP356)
 
Olig2 (EP112)
 
P504s (13H4)
 
PAX-2 (EP235)
 
PAX-5 (EP156)
 
PAX-5 (SP34)
 
SATB2 (EP281)
 
Somatostatin (EP130)
 
SOX-10 (EP268)
 
SOX-2 (SP76)
 
STAT6 (EP325)
 
Synaptophysin (MRQ-40)
 
TFE3 (MRQ-37)
 
Uroplakin III (SP73)